متى يظهر كيس الحمل بعد انقطاع الدورة

متى يظهر كيس الحمل بعد انقطاع الدورة: كثيرًا ما تواجه النساء السؤال حول متى يظهر كيس الحمل بعد انقطاع الدورة الشهرية. يعتبر كيس الحمل هو أول علامة ظاهرة للحمل ويحتوي على الجنين والأغشية المحيطة به. في هذا المقال، سنستكشف متى يظهر كيس الحمل وما هي العوامل التي قد تؤثر على ظهوره.

ما هو كيس الحمل ومتى يظهر؟
عادةً ما يظهر كيس الحمل في فحص الأشعة فوق الصوتية بعد حوالي 5-6 أسابيع من انقطاع الدورة الشهرية. يعتبر هذا التوقيت نسبيًا وقد يختلف من امرأة لأخرى. قد يكون من المستحيل رؤية كيس الحمل في فحص الأشعة فوق الصوتية في المراحل المبكرة جدًا من الحمل، وذلك بسبب حجمه الصغير وعدم تطوره بعد.
هناك عوامل عديدة قد تؤثر على ظهور كيس الحمل، بما في ذلك:
- طول دورة الحيض: إذا كانت دورتك الشهرية أطول من المتوسط (حوالي 28 يومًا)، فقد يستغرق وقتًا أطول لظهور كيس الحمل.
- تأخر التبويض: إذا كان لديك تأخر في التبويض، فقد يؤثر ذلك على ظهور كيس الحمل.
- عوامل صحية: بعض الظروف الصحية مثل تكيس المبايض أو اضطرابات هرمونية قد تؤثر على ظهور كيس الحمل.
من المهم أن تتذكر أن هذه المعلومات هي مجرد معلومات عامة وقد يختلف التوقيت وفقًا لكل حالة فردية. إذا كنت تشعر بالقلق بشأن ظهور كيس الحمل، فمن الأفضل استشارة الطبيب للحصول على تقييم دقيق وموثوق.
متى يظهر كيس الحمل بعد انقطاع الدورة؟
كثيرًا ما يتساءل الأزواج المتزوجون أو النساء اللاتي يخططن للحمل عن متى يظهر كيس الحمل بعد انقطاع الدورة الشهرية؟
أسباب انقطاع الدورة الشهرية
يمكن أن تكون هناك عدة أسباب لانقطاع الدورة الشهرية، ومن أبرزها:
- الحمل: إذا كانت المرأة قد حدث لديها حمل، فإن انقطاع الدورة الشهرية قد يكون دليلًا على حدوث حمل. عادةً ما يحدث ظهور كيس الحمل بعد أسبوعين من تأخر الدورة.
- التغيرات الهرمونية: قد تحدث التغيرات في مستويات الهرمونات في جسم المرأة نتيجة لعوامل مثل التوتر، التغيرات في الوزن، أو مشاكل صحية أخرى. هذه التغيرات يمكن أن تؤثر على دورة المرأة وتسبب انقطاعًا مؤقتًا في الدورة.
- التغيرات في نمط الحياة: قد يؤدي التغيير في نمط الحياة، مثل ممارسة التمارين الرياضية بشكل مكثف أو تغيير نظام الغذاء، إلى اضطراب في دورة المرأة وانقطاعها.
- المشاكل الصحية: قد تكون بعض المشاكل الصحية، مثل تكيس المبايض أو اضطرابات الغدة الدرقية، سببًا لانقطاع الدورة الشهرية.
من المهم أن يتوجه الأزواج المهتمون بالحمل إلى طبيب النساء لتقييم حالتهم وتشخيص سبب انقطاع الدورة الشهرية. يجب على الأزواج أيضًا أن يكونوا على دراية بأعراض الحمل المبكرة وأن يتابعوا العناية اللازمة لتحقيق حمل صحي وسليم.
علامات وأعراض الحمل المبكرة
متى يظهر كيس الحمل بعد انقطاع الدورة؟
كيف تعرفين أنك حامل بدون اختبار حمل؟
عندما يحدث انقطاع في دورة الحيض، قد تشعر المرأة بالقلق والتساؤل عما إذا كانت حامل أم لا. ومن أجل معرفة ذلك، يمكن أن تتابع المرأة بعض الأعراض والتغيرات التي قد تشير إلى حدوث الحمل. هنا بعض الأعراض المبكرة التي قد تشير إلى حدوث الحمل:
- الغثيان والقيء: قد يشعر بعض النساء بالغثيان والقيء في الصباح الباكر. هذه الأعراض تسمى “الغثيان الصباحي” وهي من أكثر علامات الحمل شيوعًا.
- زيادة في حجم الثدي: قد يلاحظ بعض النساء زيادة في حجم الثدي وشدتها. قد يكون الثدي أكثر حساسية أيضًا.
- تغيرات في الرغبة الجنسية: قد تشعر المرأة بتغيرات في الرغبة الجنسية، سواء زيادة أو انخفاض.
- الإرهاق والتعب: قد يشعر البعض بالإرهاق والتعب المفرط دون سبب واضح.
- تأخر في الدورة: إذا كانت المرأة تعاني من تأخر في دورتها الشهرية، فقد يكون ذلك إشارة إلى حدوث الحمل.
مع ظهور هذه الأعراض، يمكن للمرأة أن تشتري اختبار حمل من الصيدلية للتأكد من حدوث الحمل. ومن المهم أن تلاحظ أن هذه الأعراض ليست دليلًا قطعيًا على حدوث الحمل، وقد تكون هناك أسباب أخرى لحدوثها. لذلك، ينصح بزيارة الطبيب لتأكيد الحمل والحصول على الرعاية اللازمة.
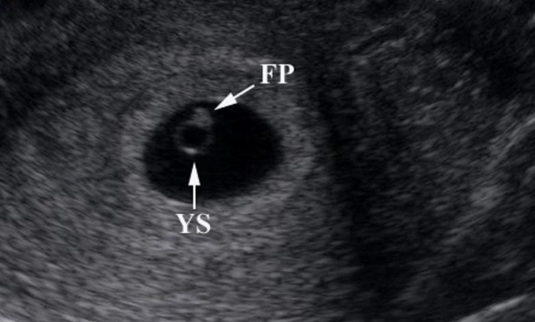
كيف يظهر كيس الحمل في السونار؟
عندما يتعلق الأمر بالحمل والأشهر الأولى من الحمل، فإن معرفة متى يظهر كيس الحمل في السونار أمر مهم للغاية.
المدة التي يستغرقها ظهور كيس الحمل في السونار
عادةً ما يظهر كيس الحمل في السونار بعد حوالي 5-6 أسابيع من انقطاع الدورة الشهرية. ومع ذلك، قد يختلف هذا من امرأة لأخرى حسب عوامل مختلفة مثل طول دورة الحيض وتوقيت التبويض.
عند إجراء فحص سونار، ستستخدم الموجات فوق الصوتية لإنشاء صورة للجنين والكيس الذي يحتضنه. في بداية فترة الحمل، يكون حجم كيس الحمل صغيرًا جدًا وصعبًا رؤيته بوضوح. ولكن مع مرور الوقت، ينمو الكيس ويصبح أكبر وأكثر وضوحًا في السونار.
من المهم أن يتم إجراء السونار بواسطة محترف ذو خبرة للحصول على صورة واضحة ودقيقة. قد يتم إجراء السونار عبر المهبل (transvaginal) في المراحل المبكرة من الحمل، حيث يتم إدخال جهاز سونار صغير في المهبل للحصول على صورة دقيقة للكيس الحمل. بعد ذلك، يتم استخدام السونار عبر البطن (transabdominal) في المراحل اللاحقة من الحمل.
في الختام، يجب أن يتم استشارة الطبيب المختص للحصول على معلومات دقيقة حول متى يظهر كيس الحمل في السونار وكيفية إجراء الفحص بشكل صحيح.
عوامل تؤثر في ظهور كيس الحمل
عوامل تساعد على ظهور كيس الحمل بشكل سريع
بالنسبة للنساء اللواتي يحاولن الحمل، قد يكون من المهم معرفة متى يظهر كيس الحمل بعد انقطاع الدورة. هناك عدة عوامل تؤثر في ظهور كيس الحمل وقد تختلف من امرأة لأخرى. إليك بعض العوامل التي قد تساعد على ظهور كيس الحمل بشكل سريع:
- توقيت التبويض: إذا كانت المرأة تعرف متى يحدث التبويض، فإنها قد تكون قادرة على تحديد متى يمكن أن يظهر كيس الحمل. في حالة حدوث التبويض في منتصف دورة المرأة، فإن فترة ظهور كيس الحمل قد تكون أقصر.
- التاريخ الشخصي: قد يؤثر التاريخ الشخصي للمرأة على ظهور كيس الحمل. بعض النساء قد يلاحظن ظهور كيس الحمل في وقت مبكر بناءً على تجاربهن السابقة.
- اختبار الحمل: استخدام اختبار الحمل المنزلي قد يكون وسيلة فعالة لتحديد ما إذا كان هناك وجود حمل أو لا. يمكن أن يظهر نتيجة اختبار الحمل إيجابية بعد فترة قصيرة من انقطاع الدورة.
- الأعراض: بعض النساء قد يلاحظن ظهور بعض الأعراض المبكرة للحمل مثل تأخر الدورة، زيادة في حجم الثدي، والغثيان. إذا كانت هذه الأعراض موجودة، فقد يكون من المفيد إجراء اختبار الحمل.
مهما كانت هذه العوامل، فإنه من المهم أن تستشير المرأة الطبيب لتحديد ما إذا كان هناك حمل أو لا. يجب أن يتم تأكيد الحمل بواسطة اختبار الحمل المناسب وزيارة الطبيب للتأكد من صحة الحمل ورعاية المرأة الحامل.
متى يظهر كيس الحمل بعد انقطاع الدورة؟
للنساء اللواتي يخططن للحمل أو يتوقعن حدوث حمل غير مخطط له، فإن معرفة متى يظهر كيس الحمل بعد انقطاع الدورة أمر مهم.
الفترة التي يستغرقها ظهور كيس الحمل بعد انقطاع الدورة
بشكل عام، يظهر كيس الحمل في المتوسط بعد حوالي 6-8 أسابيع من انقطاع الدورة. ومع ذلك، قد تختلف هذه الفترة من امرأة لأخرى وفقًا لعوامل مختلفة.
أحد العوامل التي تؤثر على ظهور كيس الحمل هو نظام التبويض لديك. إذا كان لديك نظام تبويض منتظم، فإن فرص ظهور كيس الحمل في وقت مبكر أكبر. وعلى الجانب المقابل، إذا كان لديك نظام تبويض غير منتظم، فقد يستغرق وقتًا أطول لظهور كيس الحمل.
بعض النساء قد يلاحظن ظهور أعراض مبكرة للحمل قبل ظهور كيس الحمل في الفحص الطبي. هذه الأعراض قد تشمل تأخر الدورة، زيادة في حجم الثدي، الغثيان، التعب والتبول المتكرر. إذا كنت تلاحظ هذه الأعراض، فمن المستحسن إجراء اختبار الحمل المنزلي أو زيارة الطبيب للتأكد من الحمل.
في النهاية، من المهم أن تعرف أن ظهور كيس الحمل بعد انقطاع الدورة يختلف من امرأة لأخرى. إذا كنت تشعر بالقلق بشأن عدم ظهور كيس الحمل في الوقت المناسب، فمن المستحسن استشارة الطبيب لتقييم حالتك وتوجيهك بشكل صحيح.
أشهر حالات تأخر ظهور كيس الحمل
الأسباب المحتملة لتأخر ظهور كيس الحمل بعد انقطاع الدورة
قد يكون تأخر ظهور كيس الحمل بعد انقطاع الدورة أمرًا مقلقًا للكثير من النساء. ومع ذلك، هناك عدة أسباب محتملة لهذا التأخير التي يجب أن تأخذ في الاعتبار قبل القلق. فيما يلي بعض الأسباب الشائعة لتأخر ظهور كيس الحمل:
- تأخر التبويض: قد يكون تأخر ظهور كيس الحمل نتيجة لتأخر في التبويض. قد يحدث هذا بسبب تغيرات في هرمونات الجسم أو بسبب أمور صحية مثل مشاكل في الغدد الصماء.
- التكيس المبيضي: إذا كان لديك تاريخ سابق مع مشاكل في المبايض مثل تكيس المبايض، فقد يؤثر ذلك على عملية التبويض وظهور كيس الحمل.
- التوتر والقلق: يمكن أن يؤثر التوتر والقلق الشديدين على الدورة الشهرية وتأخير ظهور كيس الحمل.
- حدوث حمل خارج الرحم: في بعض الحالات النادرة، قد يحدث حمل خارج الرحم، وهو حالة خطيرة تتطلب رعاية طبية فورية. قد يتسبب هذا في تأخر ظهور كيس الحمل.
إذا كنت تعاني من تأخر ظهور كيس الحمل بعد انقطاع الدورة، فمن المهم استشارة الطبيب لتقييم حالتك وتحديد الأسباب المحتملة. قد يقوم الطبيب بإجراء فحوصات وفحوصات إضافية لتشخيص المشكلة وتوجيهك إلى العلاج المناسب إذا لزم الأمر.
استشارة الطبيب
إذا كنت تعاني من انقطاع الدورة الشهرية وترغب في معرفة متى ستظهر أعراض الحمل، فمن الأفضل أن تستشير طبيبك.
متى يجب عليك مراجعة الطبيب بعد انقطاع الدورة
عندما يحدث انقطاع في الدورة الشهرية، فإنه من المهم أن تستشير طبيبك لتحديد سبب هذا الانقطاع ومعرفة متى يمكن أن يظهر كيس الحمل.
إليك بعض الأوقات التي قد تحتاج فيها إلى مراجعة الطبيب:
- إذا كنت تشعر بأعراض الحمل: إذا كان لديك أعراض مثل غثيان، تورم الثدي، تغيرات في المزاج، أو تأخر في الدورة الشهرية، فمن المستحسن أن تستشير طبيبك لإجراء فحص حمل.
- إذا كانت لديك تاريخ سابق للحمل: إذا كان لديك تاريخ سابق للحمل أو إذا كنت تعاني من صعوبة في الحمل، فقد يكون من الضروري مراجعة الطبيب لتقييم حالتك وتحديد ما إذا كانت هناك فرصة للحمل.
- إذا كنت تأخذ أدوية: بعض الأدوية قد تؤثر على الدورة الشهرية وتسبب انقطاعًا فيها. إذا كنت تأخذ أي أدوية، فمن المستحسن أن تستشير طبيبك لمعرفة ما إذا كانت هذه الأدوية قد تؤثر على فرصتك في الحمل.
لا تتردد في مراجعة طبيبك إذا كان لديك أي شكوى أو استفسار بخصوص انقطاع الدورة الشهرية وظهور كيس الحمل. يمكن للطبيب أن يقدم لك المشورة المهمة والفحوصات اللازمة لتحديد حالتك ومساعدتك في تحقيق الحمل المنشود.
الخلاصة
ملخص وتوصيات الخبراء حول ظهور كيس الحمل بعد انقطاع الدورة
بعد انقطاع الدورة الشهرية، يبدأ العديد من النساء في الاستفسار عن متى يظهر كيس الحمل. ومع ذلك، فإن هذا الموضوع يتطلب فهمًا صحيحًا لعملية التبويض والحمل.
في الغالب، يحدث التبويض حوالي 14 يومًا قبل بدء الدورة الشهرية التالية. وعند حدوث التبويض، يتم إفراز بويضة من المبيض، وإذا تم تخصيبها من قبل الحيوان المنوي، فإنها ستتجه إلى جدار الرحم وتتطور لتصبح كيس حمل.
تظهر عادةً علامات الحمل بعد أسبوعين من التبويض. وفي هذه المرحلة، يكون من الممكن اجراء اختبار حمل منزلي للتأكد من وجود الحمل. إذا كانت النتيجة إيجابية، فيجب على المرأة زيارة الطبيب لتأكيد الحمل والحصول على الرعاية اللازمة.
ومع ذلك، يجب ملاحظة أن هناك عوامل أخرى يجب مراعاتها. فقد يؤثر التوتر والتغيرات الهرمونية والأمراض الأخرى على دورة المرأة وظهور كيس الحمل. لذلك، ينصح بالتحدث مع الطبيب لتقييم حالة كل امرأة بشكل فردي.
في النهاية، من المهم أن تفهم المرأة أن ظهور كيس الحمل بعد انقطاع الدورة قد يختلف من امرأة لأخرى. وبالتالي، يجب على المرأة أن تكون صبورة وتستشير الطبيب إذا كانت تشعر بأي قلق أو استفسار حول حالتها.
اقرأ أيضًا:



