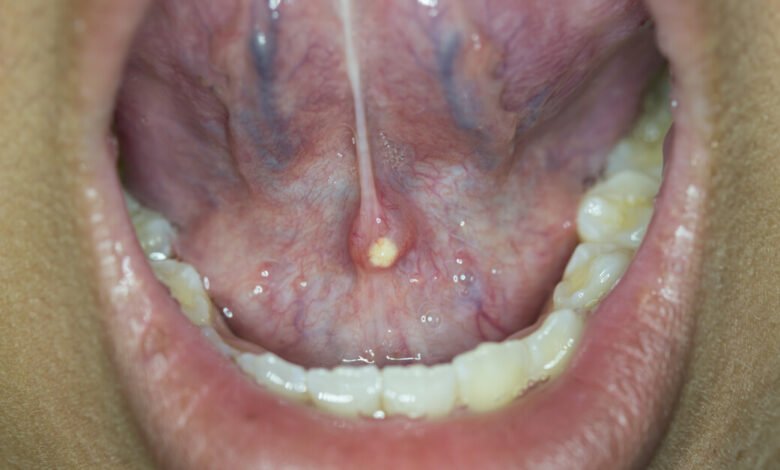
ما أسباب الإصابة بحبة اللسان؟

أسباب الإصابة بحبة اللسان: تُعتبر حبة اللسان عبارة عن نمو شبيه بالحليمات الموجودة في الفم، بحيث تكون عبارة عن نمو صغير يسبب المزعة والألم الشديد في اللسان والتي لا تسبب أي شيء خطير. ويمكن أن يصيب حبة اللسان أي شخص في أي وقت، ولكن يبدو من المرجّح أن هذه الحالة تفتقر إلى نظرية واضحة حول الأسباب المؤدية إلى حدوثها.
تُعَد حبة اللسان ظاهرة شائعة ، وتوجد العديد من الأسباب المحتملة التي قد تؤدي إلى الإصابة بها . على سبيل المثال:
- التهابات الفم: إذا كنت تعاني من التهابات اللثة ، أو العقدية الموجودة في الفم ، فقد تكون معرضًا للإصابة بحبة اللسان.
- تغييرات هرمونية: تُشير الأبحاث إلى أن حبة اللسان يحدث بشكل أكبر للنساء خلال فترات التغيير الهرموني ، مثل الحمل أو سن اليأس.
- العوامل الغذائية: يمكن أن يسبب الطعام المحفزات ، مثل المشروبات الغازية ، أو تناول الأطعمة الملتهبة، حدوث حبة اللسان.
- مرض الشقيقة: يمكن أن يزيد مرض الشقيقة خطر الإصابة بحبة اللسان.
- قلة التحمل النفسي: يظهر حبة اللسان في بعض الأحيان في الأشخاص الذين يعانون من الإجهاد النفسي.
على الرغم من توافر العديد من الأدوية والمراهم التي تزيل ألم حبة اللسان ، إلا أن هذه الأدوية لا تستطيع علاج حالتها بشكل كامل . وبالتالي ، من الضروري أن تتابع أي شخص يعاني من حبة اللسان مع طبيبه للتأكد من أن حالته مستقرة ولا توجد مضاعفات أخرى.
المشاكل الصحية التي تسبب حبة اللسان
تضخم اللوزتين وتأثيرها على الحلق وتضيق الهواء
قد يكون تضخم اللوزتين واحدًا من العوامل المؤثرة في حدوث حبة اللسان، حيث يعتبر التضخم عبارة عن زيادة في حجم الجيوب في الحلق، مما يؤدي إلى احتكاك اللسان بالجيوب، وبالتالي إلى ظهور حبات اللسان. فعند حدوث هذه المشكلة يمكن أن يفتح الطبيب الجيوب في الحلق بحيث يقلل من احتكاك اللسان بالجيوب، ويمكن أن يخفف من حدة الألم والانزعاج المصاحب لظهور حبات اللسان.
ارتفاع ضغط الدم وتأثيره على صحة القلب والأوعية الدموية
يُعد ارتفاع ضغط الدم أحد العوامل المؤثرة في حدوث حبة اللسان وفقًا للدراسات العلمية، حيث ينتج عن ارتفاع ضغط الدم تشنج في الأوعية الدموية الصغيرة في الجسم مما يؤدي إلى ظهور حبات اللسان. كما يمكن أن يؤدي الارتفاع المفرط في ضغط الدم إلى زيادة خطر الإصابة بأمراض القلب والأوعية الدموية، وبالتالي فمن الأهمية بمكان مراقبة مستويات ضغط الدم بشكل دوري واتخاذ الإجراءات المناسبة للحفاظ على صحة القلب والأوعية الدموية.
على الرغم من أن حبة اللسان قد تكون مجرد مشكلة صحية بسيطة، إلا أنه من المهم الاهتمام بها ومراجعة الطبيب لتحديد سبب حدوثها وتحديد العلاج المناسب الذي يساعد على التخلص منها.
زيادة الوزن وتأثيرها على تكوين حبة اللسان
العلاقة بين زيادة الوزن وحبة اللسان والتشجير الدهني
تشير الدراسات العلمية إلى أن زيادة الوزن قد تؤدي إلى حدوث حبة اللسان، حيث يمكن للشحوم المتراكمة حول منطقة الحلق واللسان أن تضغط عليهما مما يؤدي إلى تشكل حبة اللسان. كما أن زيادة الوزن قد تؤدي إلى تشجير دهني في الحلق واللسان، مما يساهم بشكل كبير في حدوث الحبة.
يمكن الحد من تأثير الزيادة في الوزن على حدوث حبة اللسان من خلال اتباع نظام غذائي صحي ومتوازن، بجانب ممارسة التمارين الرياضية بانتظام. وبالتالي يمكن الحفاظ على وزن الجسم المثالي الذي يخفض من خطر الإصابة بالعديد من الأمراض والحفاظ على صحة الجسم بشكل عام.
يجب الاهتمام بكافة المشاكل الصحية التي تؤثر على جسم الإنسان، بما في ذلك حبة اللسان وعلاقتها بالمشاكل الصحية الأخرى. لذا ينصح دائمًا بزيارة الطبيب واستشارته لتحديد الأسباب وسبل العلاج المناسبة.
التدخين وتأثيره على ظهور حبة اللسان
العلاقة بين التدخين وحبة اللسان وزيادة إنتاج السليلوز
تشير الدراسات الطبية إلى أن التدخين يساهم في تشكل حبة اللسان، حيث يؤدي النيكوتين والتبغ الموجودان في السجائر إلى تحفيز إنتاج السليلوز. وهو مادة مشابهة للكربوهيدرات تتواجد بكثافة في نباتات الألياف والخضروات المليئة بالماء. وبزيادة إنتاج السليلوز يزداد حجم الحبة على اللسان.
كما يؤدي التدخين إلى التهاب واحمرار اللسان والحلق، وتغير لون اللسان إلى اللون الأبيض، والتدخين يعرض الشخص للإصابة بالعديد من الأمراض الصحية، مما يؤثر على الجسم بطرق متعددة.
يجب معالجة مشكلة التدخين بطرق فعالة، وهذا يتضمن الإقلاع عن التدخين والمحافظة على نمط حياة صحي، مثل اتباع نظام غذائي صحي ومتوازن، بالإضافة إلى ممارسة التمارين الرياضية بانتظام.
في النهاية، يجب الاهتمام بكافة المشاكل الصحية التي قد تؤثر على جسم الإنسان، والتدخين يعتبر واحدًا من المسببات المهمة في ظهور حبة اللسان والإصابة بالأمراض الصحية الأخرى. لذا ينصح دائمًا بزيارة الطبيب والحصول على العلاج المناسب.
العلاج والوقاية من حبة اللسان
تغيير النظام الغذائي والحد من التدخين وتجنب المنبهات العصبية
يمكن تجنب ظهور حبة اللسان باتباع عدة نصائح وإجراءات وقائية، حيث تنصح الأطباء بتغيير النظام الغذائي من الأطعمة الدسمة والحارة والمالحة والحلوى الزائدة إلى أطعمة صحية ومتوازنة. كما يجب على المدخنين الحد من التدخين أو إقلاع عنه تمامًا، حيث يتضمن التدخين مواد كيميائية تؤثر على صحة اللسان والجسم بشكل عام.
علاوة على ذلك، ينصح بتجنب المنبهات العصبية كالقهوة والشاي والكحول، حيث أنها تؤثر على صحة الفم والحلق وحبة اللسان. لذلك يجب تناول الأطعمة الصحية والمشروبات الطبيعية وتجنب المشروبات المحلاة بالسكر.
من الآخر، يحتاج الجسم إلى العناية والاهتمام للحفاظ على صحته، والتغيير إلى نمط حياة صحي يساعد على الوقاية من حبة اللسان والأمراض الصحية الأخرى. لذا يجب تناول الأطعمة الصحية والمتوازنة وممارسة التمارين الرياضية بشكل منتظم وتجنب التدخين والمنبهات العصبية.
الأدوية والعلاج الطبيعي لحبة اللسان
الأدوية المستخدمة لعلاج حبة اللسان والعلاج الطبيعي المساعد
يتوفر عدد من الأدوية الطبية التي تستخدم لعلاج حبة اللسان، بما في ذلك الأدوية المخفضة للحساسية والمضادات الحيوية والأدوية المخصصة لإزالة الورم في اللسان. يتم استخدام بعضها عن طريق الحقن والبعض الآخر عن طريق الحبوب.
كما يمكن استخدام العلاج الطبيعي كمساعد لعلاج حبة اللسان، بما في ذلك تناول المكملات الغذائية التي تساعد في تقوية المناعة والتقليل من التهابات الفم والحلق واللسان. ومن الأمثلة على هذه المكملات العسل والصمغ والأعشاب الطبية.
كما يتوفر علاج طبيعي آخر يشمل العلاج الحراري والتدليك، الذي يعمل على تحفيز الدورة الدموية وتقليل التوتر والألم في الفم واللسان. بالإضافة إلى ذلك، يمكن استخدام غسول الفم المطهر الطبيعي للحد من البكتيريا المسببة للحساسية والعدوى.
إن اتباع نظام غذائي صحي وتجنب المنبهات العصبية يساعد على تحسين صحة اللسان والجسم بشكل عام، ولكن في بعض الحالات اللجوء للعلاج الطبيب والطبيعي يكون ضرورياً للتخلص من حبة اللسان. يجب استشارة الطبيب في حالة استمرار ظهور أعراض حبة اللسان وعدم التحسن بشكل كافي بعد تبع الإجراءات الوقائية.
العوارض المصاحبة لحبة اللسان
الأعراض الناتجة عن حبة اللسان وأثرها على الجسم
تسبب حبة اللسان الكثير من الأعراض غير المريحة التي تؤثر على جودة حياة المريض، ويمكن أن تؤدي إلى مشاكل صحية خطيرة في بعض الحالات. ومن الأعراض الشائعة لحبة اللسان هي:
- الألم في اللسان
- انتفاخ اللسان وانتفاخ الحلق
- صعوبة في البلع والتحدث
- خدر في اللسان
- الحكة والحرقة في الفم
تؤثر حبة اللسان على جسم المريض بالكثير من الطرق، حيث تؤدي إلى تقليل الشهية والتغذية السليمة، وتزيد من احتمالية الإصابة بالعدوى في المنطقة المصابة، وتؤدي إلى تفاقم ظهور حالات الحساسية والربو.
ومن المهم البدء في العلاج المناسب بمجرد ظهور هذه الأعراض، حيث تزيد فرص الشفاء الكامل بالعلاج المبكر. يستطيع المريض الالتزام باتباع الإجراءات الوقائية المناسبة، بما في ذلك تجنب المنبهات العصبية واتباع نظام غذائي صحي، بينما قد يحتاج في بعض الحالات إلى استشارة الطبيب واستخدام الأدوية المناسبة أو العلاج الطبيعي المساعد للتخلص من حبة اللسان.
من المهم على المريض البحث عن مزيد من المعلومات والإرشادات من قبل الطبيب الخاص به قبل اتخاذ أي خطوة تجاه العلاج، وعدم التهاون في هذه الحالة الصحية الخطيرة.
متى يجب استشارة الطبيب بسبب حبة اللسان
التوقيت الذي يتطلب فيه مراجعة الطبيب إذا كان هناك حبة لغوية
ينبغي على المريض مراجعة الطبيب على الفور إذا كان يعاني من أي من الأعراض التي ترتبط بحبة اللسان، فهذه الحالات قد تكون خطيرة وتستدعي العناية الفورية. ومن الأعراض التي يجب الانتباه لها والتحقق منها مع الطبيب هي الألم الشديد في اللسان والحلق، والتورم الحاد في المنطقة، وصعوبة التنفس، وصعوبة البلع والتحدث، وفقدان الوعي.
ويجب على الأشخاص الذين يعانون من حبة لغوية، قد تسببت في أعراض متفاوتة، مثل صعوبة البلع أو احمرار اللسان. أن يتوقفوا عن استخدام المنبهات العصبية والتدخين واستشارة الطبيب. فقد يحتاج المصاب بحبة لغوية إلى إجراء عملية جراحية لإزالة الحبة، ويمكن أن تؤدي التأخير في عملية العلاج إلى تفاقم المشكلة وحدوث مضاعفات خطيرة.
وعلى المريض أيضًا الانتباه إلى أي علامات جديدة تظهر على حبة اللسان، مثل التغير في الحجم والشكل أو اللون، والتصلب أو التقرحات. ومن المهم التذكير بأن عدم الالتزام بالعلاج المناسب يمكن أن يؤدي إلى تداعيات خطيرة على الصحة العامة وجودة الحياة.
لهذا السبب، يجب على الأشخاص الذين يعانون من أي أعراض تشير إلى وجود حبة في اللسان، مراجعة الطبيب على الفور لتشخيص المشكلة وتحديد العلاج المناسب.
خلاصة أسباب الإصابة بحبة اللسان
أهمية الوقاية والعناية بصحة الفم واللسان والتغذية السليمة.
تؤكد الدراسات الطبية على أهمية الوقاية والعناية بصحة الفم واللسان للحد من خطر ظهور حبة اللسان وغيرها من المشاكل الصحية المرتبطة بالفم. وينبغي للأشخاص الحرص على تفادي التدخين وتقليل استهلاك المنبهات العصبية، واستخدام العناية الفموية اليومية بشكل منتظم، مثل التفريش واستخدام المضمضة بالماء والملح، واستخدام خيط الأسنان لإزالة البكتيريا والرواسب من بين الأسنان. كما ينبغي تناول الأطعمة الغنية بالفيتامينات والمعادن وتجنب تناول الأطعمة غير الصحية.
بالإضافة إلى ذلك، ينبغي على الأشخاص مراجعة الطبيب الدوري لإجراء فحوصات الكشف المبكر عن أي مشكلة صحية تتعلق بالفم واللسان، والتي يمكن أن تصبح مشكلة خطيرة إذا تم تجاهلها. وفي حالة ظهور أي أعراض غير طبيعية، مثل الألم أو الورم في اللسان، ينبغي على المريض مراجعة الطبيب على الفور للحصول على العلاج المناسب.
بالتزامن، لا يجب التأخير في العلاج اللازم إذا تم الكشف عن حبة لغوية، حيث إن تأخير العلاج قد يؤدي إلى تفاقم المشكلة وإمكانية حدوث مضاعفات خطيرة وتأثير سلبي على الصحة العامة وجودة الحياة. لذلك، في حالة ظهور أي أعراض غير طبيعية، ينبغي على المريض مراجعة الطبيب على الفور للحصول على العلاج المناسب.
اقرأ المزيد:



