بالصور: 9 أنواع لالتهاب اللثة

أنواع لالتهاب اللثة: تعتبر العناية الصحيحة بالفم والأسنان من الأمور الأساسية للوقاية من التهاب اللثة.- من الضروري تفريش الأسنان بشكل منتظم بواسطة فرشاة أسنان ناعمة واستخدام معجون أسنان يحتوي على فلورايد.- يجب تغيير الفرشاة بانتظام وعدم مشاركتها مع الآخرين لمنع انتقال البكتيريا.- يجب تنظيف الفرشاة بشكل جيد بعد كل استخدام.- ينصح بالمضمضة بمحلول مضاد للبكتيريا للحفاظ على نظافة الفم وتقليل خطر التهاب اللثة.
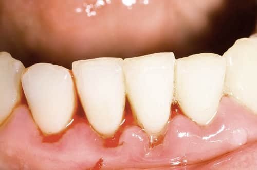
علامات وأعراض التهاب اللثة
– تعاني اللثة المصابة بالتهاب من احمرار وتورم ونزف خفيف أثناء التفريش أو الاستخدام البسيط للخيط السني.- قد يلاحظ المرضى وجود رائحة كريهة تنبعث من الفم.- قد يحدث تراجع للثة وظهور فجوات بين الأسنان.- قد يشعر المرضى بألم أو حساسية عند تناول الطعام الساخن أو البارد.- قد يتراكم الجير والبلاك على الأسنان والثة المصابة بالتهاب.- قد يلاحظ المرضى تغير لون اللثة إلى لون أحمر غامق أو بني.
يجب على الأفراد الذين يعانون من أي من هذه الأعراض التوجه إلى طبيب الأسنان لتقييم الحالة والحصول على العلاج المناسب. من الضروري علاج التهاب اللثة في وقت مبكر لمنع تفاقم المشكلة والحفاظ على صحة اللثة والأسنان.
التهاب اللثة الحاد
أسباب التهاب اللثة الحاد
– من أسباب التهاب اللثة الحاد قد يكون استخدام فرشاة أسنان غير مناسبة أو بدن غير صحي في تفريش الأسنان.- قد يسبب التهاب اللثة الحاد أيضًا عدم القدرة على الوصول إلى المناطق الضيقة بين الأسنان بشكل صحيح.- التدخين وتناول الطعام غير الصحي وعدم ممارسة العناية الفموية الجيدة لفترة طويلة أيضًا من الأسباب المحتملة للتهاب اللثة الحاد.
أعراض وعلاج التهاب اللثة الحاد
– تشمل أعراض التهاب اللثة الحاد نزيف اللثة بشكل ملحوظ أثناء التفريش والاستخدام البسيط للخيط السني.- قد يلاحظ المريض أيضًا ألمًا وتورمًا في اللثة المصابة.- يجب علاج التهاب اللثة الحاد من قبل طبيب الأسنان المختص.- يجب تنظيف الأسنان واللثة بعناية واستخدام مضامض مضادة للبكتيريا للمساعدة في علاج التهاب اللثة الحاد.- في حالة الإصابة بالتهاب اللثة الحاد بسبب تراكم كبير للجير والبلاك، قد يتطلب الأمر إجراء عملية تنظيف عميقة للأسنان واللثة.
من الضروري البدء في علاج التهاب اللثة الحاد في المرحلة الأولى لمنع تطور المشكلة وحماية صحة اللثة والأسنان.
التهاب اللثة المزمن
أسباب التهاب اللثة المزمن
– يمكن أن يكون التهاب اللثة المزمن نتيجة التهاب اللثة الحاد الغير معالج بشكل صحيح.- يمكن أن يساهم تراكم الجير والبلاك على الأسنان في تطور التهاب اللثة المزمن.- تناول الطعام غير الصحي وعدم الاهتمام بالعناية الفموية الجيدة أيضًا من الأسباب المحتملة للتهاب اللثة المزمن.
أعراض وعلاج التهاب اللثة المزمن
– تشمل أعراض التهاب اللثة المزمن اللثة الحمراء والمتورمة والمؤلمة.- قد يكون هناك أيضًا تراجع في خط اللثة وتجويفات بين الأسنان.- يتطلب علاج التهاب اللثة المزمن عملية تنظيف عميقة للأسنان واللثة لإزالة الترسبات.- يجب تنظيف الأسنان بعناية واستخدام مضامض مضادة للبكتيريا للحد من التهاب اللثة المزمن.- ينصح بزيارة طبيب الأسنان بشكل منتظم للفحص والتشخيص المبكر لأي مشكلات محتملة في اللثة.
من الأهمية بمكان توخي الحذر وعلاج التهاب اللثة المزمن في مراحله المبكرة للحفاظ على صحة اللثة والأسنان وتجنب المشاكل والمضاعفات المحتملة. يجب على الأفراد اتباع نظام غذائي صحي والقيام بالعناية الفمويّة اليومية لمنع التهاب اللثة المزمن من الحدوث أو التفاقم.
التهاب اللثة المتقدم
الوعي المبكر لالتهاب اللثة المتقدم
– يعتبر الوعي المبكر لالتهاب اللثة المتقدم أمرًا مهمًا للحفاظ على صحة اللثة والأسنان.- يجب على الأفراد توخي الانتباه لأي تغيرات في اللثة مثل الاحمرار أو الورم أو النزيف أثناء التفريش.- إذا لاحظ الفرد أي من هذه الأعراض، يجب عليه زيارة طبيب الأسنان فورًا للفحص والتشخيص المبكر.
أعراض وعلاج التهاب اللثة المتقدم
– تشمل أعراض التهاب اللثة المتقدم اللثة الحمراء والمتورمة والمؤلمة، وقد يكون هناك تراجع في خط اللثة وتجويفات بين الأسنان.- يتطلب علاج التهاب اللثة المتقدم خطوات إضافية مقارنة بالتهاب اللثة المزمن، حيث قد يحتاج المريض إلى جراحة لإزالة الترسبات والتجمعات البكتيرية.- يجب على المريض الالتزام بنصائح وتوصيات طبيب الأسنان بعد العلاج للحفاظ على صحة اللثة والوقاية من تكرار التهاب اللثة المتقدم.
من الضروري اتباع نمط حياة صحي وتنظيف الأسنان بعناية للوقاية من التهاب اللثة المتقدم. يجب على الأفراد القيام بالعناية الفموية اليومية وتناول الطعام الصحي وتجنب التدخين وزيارة طبيب الأسنان بانتظام للفحص والوقاية من التهاب اللثة المتقدم. سيساعد ذلك في الحفاظ على صحة اللثة والأسنان والوقاية من المضاعفات المحتملة.
التهاب اللثة بسبب التسوس
تأثير التسوس على اللثة
– يعتبر التسوس واحدًا من أهم الأسباب للتهاب اللثة.- عندما يتراكم التسوس على سطح الأسنان وبين الأسنان، فإنه يتسبب في تهيج اللثة المحيطة به.- تؤدي البكتيريا الموجودة في التسوس إلى انتشار العدوى في الأنسجة اللثوية وتهيجها، مما يؤدي إلى التهاب اللثة.
أعراض وعلاج التهاب اللثة بسبب التسوس
– تشمل أعراض التهاب اللثة بسبب التسوس تورم اللثة، واحمرارها، ونزيفها بسهولة.- يجب على المريض زيارة طبيب الأسنان لإجراء الفحص والتشخيص الدقيق للتهاب اللثة بسبب التسوس.- يشمل علاج التهاب اللثة بسبب التسوس إزالة التسوس المتراكم وتنظيف الأسنان بشكل جيد.- في حالات متقدمة، قد يكون العلاج يشمل علاج الجذور وجراحة اللثة.
من الضروري الوعي المبكر بأعراض وتأثير التهاب اللثة بسبب التسوس واللجوء لعلاجه فورًا للحفاظ على صحة اللثة والأسنان. يجب على الأفراد اتباع نمط حياة صحي وممارسة العناية الفموية اليومية بشكل جيد، مع زيارة طبيب الأسنان بانتظام للفحص والوقاية من التهاب اللثة والتسوس.
التهاب اللثة بسبب التهاب اللثة الأموال
أسباب اللثة المنتفخة والحمراء والتهابها
– يعتبر التهاب اللثة بسبب التهاب اللثة الأموال من الأسباب المهمة لظهور أعراض مثل تورم اللثة واحمرارها والتهابها.- يحدث هذا التهاب بسبب تراكم البلاك السني على اللثة بالقرب من الأسنان، مما يؤدي إلى نمو البكتيريا والعدوى في الأنسجة اللثوية.- تتراكم البلاك عند عدم تنظيف الأسنان بشكل جيد وعدم الاهتمام بالصحة الفموية.
أعراض وعلاج التهاب اللثة بسبب التهاب اللثة الأموال
– تشمل أعراض التهاب اللثة بسبب التهاب اللثة الأموال تورم اللثة، واحمرارها، ونزيفها بسهولة عند التفريش أو الاستخدام المتكرر للخيط السني.- يجب على المريض زيارة طبيب الأسنان لإجراء الفحص وتشخيص التهاب اللثة بسبب التهاب اللثة الأموال.- يشمل علاج التهاب اللثة بسبب التهاب اللثة الأموال إزالة البلاك والترسبات على الأسنان واللثة، وتنظيف الأسنان بشكل جيد.- في حالات متقدمة، قد يتطلب العلاج عملية جراحية لإصلاح الأنسجة اللثوية وإزالة التهاب اللثة.
من الضروري توعية الأفراد بالأسباب التي تؤدي إلى ظهور التهاب اللثة بسبب التهاب اللثة الأموال، واتخاذ التدابير اللازمة للوقاية والعلاج. يجب على الأفراد الالتزام بنمط حياة صحي والاهتمام بالصحة الفموية اليومية بشكل جيد، مثل تنظيف الأسنان بانتظام واستخدام الخيط السني وزيارة طبيب الأسنان للفحص الدوري.
التهاب اللثة بسبب الجيوب اللثوية
أسباب وأعراض الجيوب اللثوية
– يعتبر التهاب اللثة بسبب الجيوب اللثوية من المشاكل الشائعة في الفم، حيث تتكون جيوب صغيرة في الأنسجة اللثوية حول الأسنان.- تحدث الجيوب اللثوية عندما تتسرب البكتيريا والفضلات بين الأسنان واللثة، مما يؤدي إلى تهيج الأنسجة وتورمها.- أحد أسباب الجيوب اللثوية هو عدم التنظيف الجيد للأسنان واللثة، مما يسمح للبلاك بالتراكم وتكوين التهابات باللثة.- من الأعراض الشائعة للجيوب اللثوية تورم اللثة، واحمرارها، وتجويفات بين الأسنان واللثة.
أعراض وعلاج التهاب اللثة بسبب الجيوب اللثوية
– يجب على المريض زيارة طبيب الأسنان لتشخيص وعلاج التهاب اللثة بسبب الجيوب اللثوية.- يشمل علاج التهاب اللثة الناجم عن الجيوب اللثوية تنظيف الجيوب وإزالة الترسبات والبلاك على الأسنان واللثة.- قد يتطلب العلاج الجراحي في بعض الحالات لإصلاح الجيوب وتنظيفها بشكل أفضل.- يجب على المريض الاهتمام بالصحة الفموية اليومية وتنظيف الأسنان بانتظام واستخدام الخيط السني وفرشاة الأسنان بشكل صحيح.- من الضروري المحافظة على نظافة الأسنان واللثة واتباع التدابير الوقائية للحد من التهابات اللثة بسبب الجيوب اللثوية.
تعد مشكلة التهاب اللثة بسبب الجيوب اللثوية شائعة وقابلة للعلاج إذا تم التشخيص المبكر واتباع خطة العلاج المناسبة. يجب على الأفراد الاهتمام بالصحة الفموية اليومية وزيارة الطبيب الأسنان للفحص الدوري والحصول على العلاج المناسب للحفاظ على صحة اللثة والأسنان.
تأثير الأدوية على اللثة
– يعتبر التهاب اللثة بسبب الأدوية من المشاكل الشائعة في الفم، حيث يمكن أن تؤثر عدة أنواع من الأدوية على صحة اللثة.- بعض الأدوية مثل الأدوية المصنفة ضمن مجموعة الكالسيوم القناة، والنيتروجليسرين، والفينيتوئين، قد تسبب جفاف الفم وتقليل إفراز اللعاب. هذا يؤدي إلى زيادة تراكم البلاك وتهيج اللثة.- بعض الأدوية المنومة والمهدئة يمكن أن تؤثر على مستوى الوعي والإصابة بالخدر في الفم واللثة. هذا يمكن أن يؤثر على الأداء الجيد للعناية الفموية ويؤدي إلى تهيج اللثة.- بعض الأدوية الهرمونية، مثل الأدوية المستخدمة في علاج مشاكل الغدة الدرقية، قد تسبب ارتفاع مستوى الهرمونات في الجسم. قد يؤدي ذلك إلى زيادة تهيج اللثة واحمرارها ونزفها.- يجب أن يكون المرضى الذين يتناولون أدوية طويلة الأمد على اطلاع بتأثيرات الأدوية على صحة اللثة والأسنان. يجب أن يستشيروا أطباء الأسنان لتلقي النصائح والعناية الملائمة.
أعراض وعلاج التهاب اللثة بسبب الأدوية
– يجب على المرضى الذين يشكون من التهاب اللثة بسبب الأدوية زيارة طبيب الأسنان لتشخيص وعلاج المشكلة.- عند اتباع علاج التهاب اللثة، يجب تضمين تدابير إضافية لتحسين الصحة الفموية. يشمل ذلك تنظيف الأسنان بشكل صحيح باستخدام فرشاة الأسنان الناعمة واستخدام الخيط السني بانتظام.- قد يوصي طبيب الأسنان بتناول المكملات الفيتامينية وتغيير الأدوية إذا كانت الأدوية الحالية تسبب مشاكل في اللثة.- من المهم أن يلتزم المرضى باتباع التدابير الوقائية للحفاظ على صحة اللثة والأسنان، مثل تقليل استهلاك المشروبات الحمضية والسكريات والتوقف عن التدخين.- يتطلب علاج التهاب اللثة بسبب الأدوية الالتزام بالرعاية الفموية اليومية وزيارة طبيب الأسنان بانتظام للفحص والعلاج المناسب.
التهاب اللثة بسبب الأدوية
تأثير الأدوية على اللثة
– يُعتبر التهاب اللثة بسبب الأدوية من المشاكل الشائعة في الفم، حيث يمكن أن تؤثر عدة أنواع من الأدوية على صحة اللثة.- بعض الأدوية مثل الأدوية المصنفة ضمن مجموعة الكالسيوم القناة، والنيتروجليسرين، والفينيتوئين، قد تسبب جفاف الفم وتقليل إفراز اللعاب. هذا يؤدي إلى زيادة تراكم البلاك وتهيج اللثة.
– بعض الأدوية المنومة والمهدئة يمكن أن تؤثر على مستوى الوعي والإصابة بالخدر في الفم واللثة. هذا يمكن أن يؤثر على الأداء الجيد للعناية الفموية ويؤدي إلى تهيج اللثة.- بعض الأدوية الهرمونية، مثل الأدوية المستخدمة في علاج مشاكل الغدة الدرقية، قد تسبب ارتفاع مستوى الهرمونات في الجسم. قد يؤدي ذلك إلى زيادة تهيج اللثة واحمرارها ونزفها.- يجب أن يكون المرضى الذين يتناولون أدوية طويلة الأمد على اطلاع بتأثيرات الأدوية على صحة اللثة والأسنان. يجب أن يستشيروا أطباء الأسنان لتلقي النصائح والعناية الملائمة.
أعراض وعلاج التهاب اللثة بسبب الأدوية
– يجب على المرضى الذين يشكون من التهاب اللثة بسبب الأدوية زيارة طبيب الأسنان لتشخيص وعلاج المشكلة.- عند اتباع علاج التهاب اللثة، يجب تضمين تدابير إضافية لتحسين الصحة الفموية. يشمل ذلك تنظيف الأسنان بشكل صحيح باستخدام فرشاة الأسنان الناعمة واستخدام الخيط السني بانتظام.- قد يوصي طبيب الأسنان بتناول المكملات الفيتامينية وتغيير الأدوية إذا كانت الأدوية الحالية تسبب مشاكل في اللثة.
– من المهم أن يلتزم المرضى باتباع التدابير الوقائية للحفاظ على صحة اللثة والأسنان، مثل تقليل استهلاك المشروبات الحمضية والسكريات والتوقف عن التدخين.- يتطلب علاج التهاب اللثة بسبب الأدوية الالتزام بالرعاية الفموية اليومية وزيارة طبيب الأسنان بانتظام للفحص والعلاج المناسب.
الوقاية من التهاب اللثة
نصائح للحفاظ على صحة اللثة
– غسل الأسنان بشكل صحيح بالفرشاة والمعجون السني.- استخدام الخيط السني لإزالة بقايا الطعام بين الأسنان.- استخدام غسول الفم الذي يحتوي على مواد مضادة للجراثيم.- تناول الطعام الصحي والغني بالفيتامينات والمعادن.- الامتناع عن التدخين وتقليل استهلاك المشروبات الكحولية.- تجنب العض على الأظافر أو قضم الشفتين.
كيفية الوقاية من التهاب اللثة بشكل فعال
– زيارة طبيب الأسنان بانتظام للفحص والتنظيف الدوري.- استشر طبيب الأسنان قبل تناول أي أدوية جديدة للتأكد من عدم تأثيرها على صحة اللثة.- ممارسة التبولة بعد تناول الطعام لإزالة بقايا الطعام بشكل فعال.- الحفاظ على الجسم مرطبًا بشرب الكثير من الماء.- قم بتنظيف الأجهزة السنية الثابتة بعناية وبشكل منتظم باستخدام فرشاة الأسنان الناعمة والخيط السني المناسب.- تجنب إهمال أي أعراض مشكلة في اللثة واستشر طبيب الأسنان في حالة الاشتباه في التهاب اللثة.




